Panorex
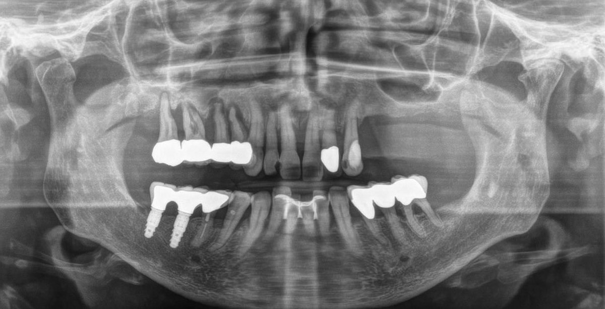
Dental health relies heavily on accurate, detailed imaging for diagnosis and treatment planning. To address this, Panorex was developed. A Panorex image is a two-dimensional, panoramic view of the entire oral and maxillofacial region. Unlike traditional intraoral X-rays focusing on specific teeth, the Panorex captures a broader perspective, providing a comprehensive view of the jaws, teeth, and surrounding structures. At MountainView Dental, it is a valuable diagnostic tool we use for various dental and maxillofacial applications.

Applications of Panorex Imaging
Orthodontics
Orthodontists use Panorex images to assess the alignment and development of teeth and jaws, aiding in planning orthodontic treatment, such as braces or aligners.
Oral Surgery
Oral surgeons rely on Panorex images for treatment planning for procedures that include the extraction of impacted teeth, dental implant placement, and diagnosing cysts or tumors.
Periodontics
Periodontists use Panorex images to evaluate the health of the supporting structures of the teeth, including the bone and gum tissues, when diagnosing and treating gum disease.
Endodontics
Panorex images help endodontists identify the root canal anatomy and the presence of infection or abnormalities when performing root canal therapy.
Prosthodontics
Prosthodontists use Panorex imaging to assess the bone quality and quantity for patients requiring dental implants or dentures.
General Dentistry
General dentists in Hurricane, UT, may use Panorex images for routine dental examinations to detect issues like cavities, impacted teeth, or jaw abnormalities.
The Benefits of Panorex Imaging
Comprehensive Visualization

One of the primary benefits of Panorex imaging in Hurricane, UT, is its ability to capture a comprehensive view of the entire oral and maxillofacial region in a single image. This includes the upper and lower jaws, teeth, temporomandibular joints (TMJ), sinuses, and adjacent structures. Such a broad perspective aids in the early detection of various dental and maxillofacial abnormalities, providing a holistic understanding of a patient's oral health.
Low Radiation Exposure
While all X-ray procedures involve some level of radiation, the radiation dose associated with Panorex imaging is relatively low compared to other dental imaging techniques. Nevertheless, our dental professionals take precautions to ensure the lowest possible radiation exposure while still obtaining diagnostic-quality images.
Comprehensive Dental Care
Panorex images are crucial in various dental specialties, including orthodontics, oral surgery, periodontics, endodontics, prosthodontics, and general dentistry. Dentists and specialists rely on these images to assess dental and bone health, treatment planning, and monitor treatment progress.
Patient Comfort
Panorex imaging is non-invasive and requires no objects to be placed inside the patient's mouth, making it a comfortable and anxiety-reducing experience. Patients do not need to tolerate the discomfort associated with intraoral X-rays, which may involve biting on film or sensors.
Panorex imaging is an indispensable tool in modern dentistry, providing a comprehensive and efficient way to assess oral and maxillofacial health. Contact MountainView Dental at 52 South 850 West, Suite 201, Hurricane, UT 84737, or call (435) 635-9471 to discover more.
Cosmetic Dentistry
Dental Implants
Oral Surgery
Periodontal Maintenance
Restorative Dentistry
Sleep Apnea Treatment
Dental Hygiene
Our Technology
Extraction Site Preservation
Root Canal Treatment
Tooth Extractions
Dental Bonding
Dental Bridges
Dental Crowns
Dental Inlays & Onlays
Dentures
Arestin
Biopsy
Frenectomy
Occlusal Adjustment
Periodontal Disease Treatment
Scaling & Root Planing
Digital X-Rays
Rotary Endodontics
SureSmile
Pediatric Dentistry
Oral Cancer Screenings
Dental Veneers
Intra Oral Camera
Electric Handpieces
Dental Sealants
Deka CO2 Laser
Cerec®
Teeth Whitening

- MON: 8:30 am - 5:00 pm
- TUE: 7:00 am - 5:00 pm
- WED: 8:30 am - 5:00 pm
- THU: 7:00 am - 5:00 pm
- FRI: 7:00 am - 3:00 pm
- SAT - SUN: Closed